Les gestes à faire pour aider un nourrisson ou un enfant plus grand à éjecter on corps étranger qui aurait été accidentellement inhalé.
Démonstration pour comprendre les premiers gestes, les numéros à appeler et comment et où se former.
C’est ICI
Pour voir toute l’émission, c’est ICI
QUE FAIRE FACE À UNE SUSPICION D’INHALATION D’UN CORPS ÉTRANGER CHEZ L’ENFANT ?
On estime qu’il y a entre 500 à 1 000 cas d’inhalation d’un corps étranger par an chez l’enfant en France, ce qui n’est pas négligeable au vu des conséquences dramatiques que peut avoir cet accident.
En effet, l’inhalation d’un corps étranger est la 4e cause de décès accidentel chez les moins de 3 ans. Dès lors, il importe d’en faire le diagnostic le plus tôt possible.
Le signe d’alerte est l’apparition d’un syndrome de pénétration, sous la forme d’un accès de suffocation brutal et inopiné, concomitant à l’introduction du corps étranger (CE).
Il s’accompagne de cyanose, pâleur, quinte de toux violente, tirage et cornage.
Il dure de quelques secondes à quelques minutes, et s’arrête lorsque le CE s’immobilise au niveau d’une bronche.
Le syndrome de pénétration peut être incomplet ou même être ignoré des parents si ceux-ci n’étaient pas présents au moment de l’accident.
L’enfant présente une dyspnée, une dysphonie et/ou une toux.
Que fait le médecin? Radio? Scanner? Endoscopie?
L’auscultation recherche une asymétrie entre les deux champs pulmonaires, un tympanisme (modification du bruit fait par ,le passage de l’air), un bruit surajouté. En cas de dyspnée, il va mesurer la saturation en 02 pour évaluer la gravité de la situation.
Même bien conduit, un examen clinique normal ne permet pas d’exclure un CE, avec 10 à 30 % de faux négatif!!
Il faut donc étayer le diagnostic au moyen de l’imagerie. Une radiographie pulmonaire standard de face, si possible en inspiration et expiration forcées, repère facilement un CE radio-opaque (10 % des CE) ; mais ce n’est pas toujours suffisant non plus.
Dans ces conditions le médecin demandera un scanner du thorax voire une endoscopie rigide par un pneumo pédiatre ou un urgentiste.
Dans ce contexte, l’endoscopie rigide (ou tube souple) reste l’examen de référence. Elle n’est pourtant pas sans inconvénient : nécessité d’une anesthésie générale, complications dans 8 à 17 % des cas (bronchospasme, désaturation, traumatisme des voies aériennes), les complications majeures restant rares.
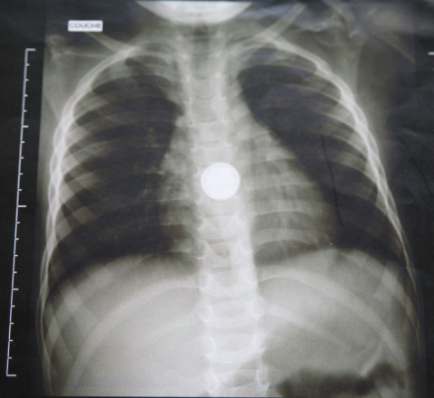
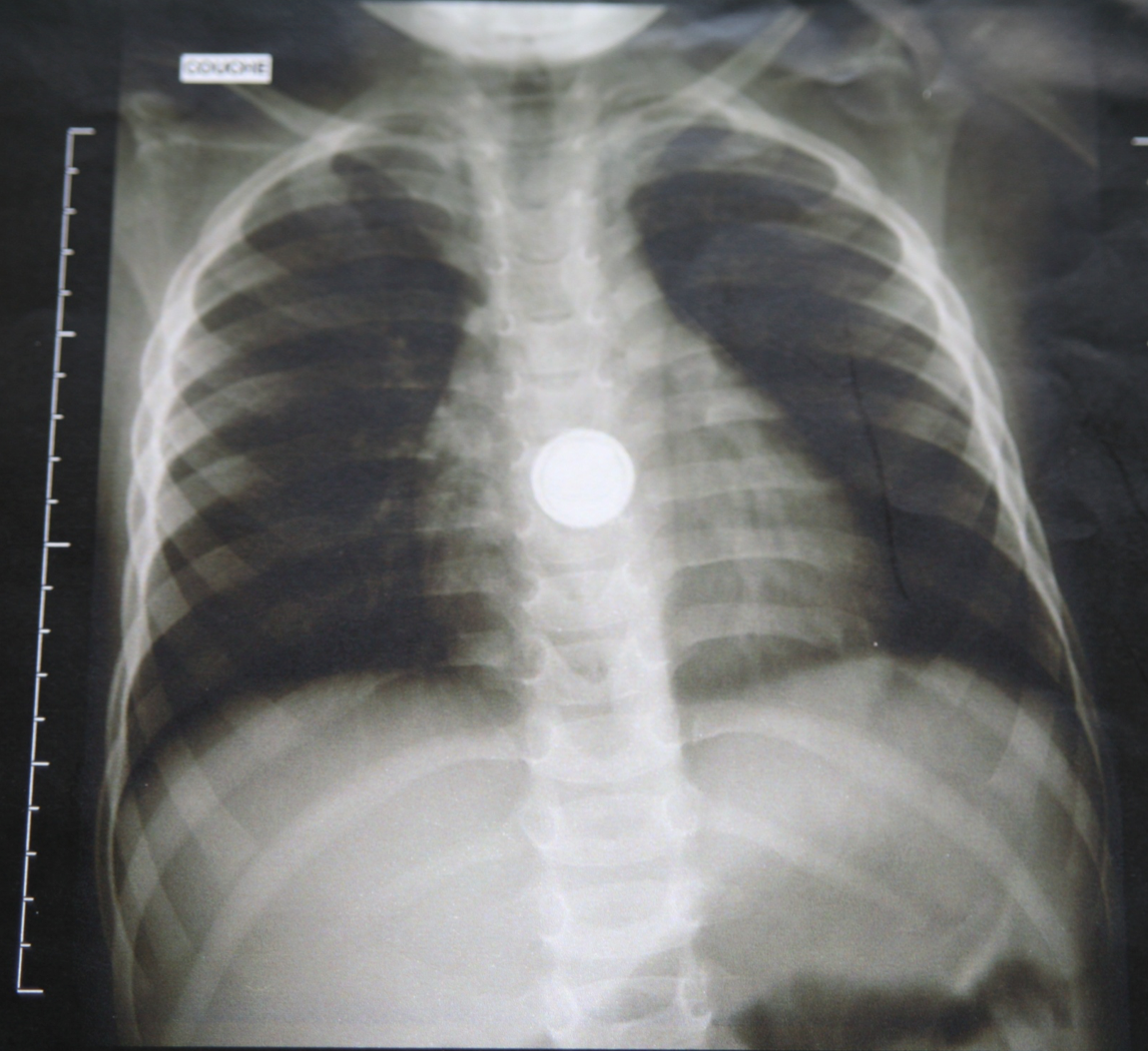
absorption d’une pile bouton vue à la radio













